Clinical training courses for healthcare professionals

We are know that your reputation is based on the calibre of your employees, and their training plays a fundamental part in their approach to caring for others. Our clinical healthcare training programs are crafted to ensure that the skills and knowledge of healthcare professionals remain current in a sector that is both dynamic and ever-evolving.

We provide a diverse array of clinical training courses, each of which can be customised to meet the specific requirements of your organization and staff. We can also provide on-site supervisions as well as follow up competency assessments on any courses we teach.

Search our available courses:

Alternatively Contact Us to discuss your specific requirements and let us tailor a course to your needs.

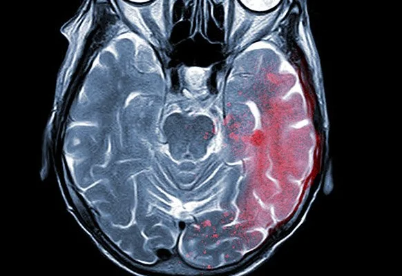
This course aims to improve the learners understanding and knowledge around brain injuries. It will also teach them how to help people with brain injuries in their recovery and everyday life.

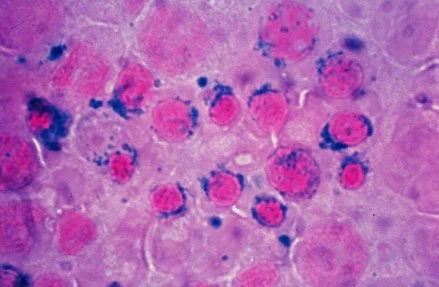
Attendees will learn about the causes of anaemia and how to correctly diagnose it. By the end of the course they will also be able to identify blood results.

This training course aims to increase attendees knowledge and understanding of the common causes of anaphylaxis, and the best practice methods on the treatment and management of it.

This training course is designed for community care and nursing staff. The training provides an understanding of the correct procedures to follow when performing aseptic techniques.

This course provides essential knowledge for healthcare and care staff supporting individuals on artificial ventilation. It covers respiratory anatomy, ventilator types, equipment setup, alarm response, and infection control procedures.

Attendees will be taught the essential skills to operate an AED machine, as well as basic first aid and CPR techniques. This course is ideal for individuals who work in care homes, schools, workplaces, sports teams, and community groups.

This course provides essential training on how to recognise, manage, and prevent autonomic dysreflexia in people with spinal cord injuries. It's ideal for healthcare professionals in clinical or care settings who need to act fast and improve patient safety and outcomes.

This course is aimed at staff responsible for the monitoring and welfare of patients with hypoglycaemia and hyperglycaemia (high & low) blood sugar levels.

This training provides essential knowledge and practical skills for safe, effective adult bowel care. It supports clinical governance, promotes dignity, and can be tailored to include paediatric considerations where required.

This Buccal Midazolam training course is designed to provide learners with the knowledge and confidence to safely administer Buccal Midazolam when required.

This course is aimed at nurses, health care assistants and other health care professionals wishing to undertake this skill within their clinical duties. No prior experience is typically required though a basic healthcare knowledge is helpful.

CHAP's training will help your business bridge the gap between your seniors and your nurses. When implemented correctly they relieve pressure from the nursing team resulting in improvements of care delivery.

This course intended for all RGNs, enrolled nurses, and qualified staff who are new to catheterisation or require a refresher.

This course teaches attendees about the causes, symptoms, and impact of Cerebral Palsy. This training promotes inclusion through person-centred care, communication strategies, and legal awareness.

Catheter care training is essential for healthcare workers, care staff, and nurses to prevent infections, ensure patient comfort, and maintain safe and effective use of catheters.

This training course is designed to equip care staff, healthcare workers, and social care professionals with the knowledge and skills to effectively support individuals living with COPD.

This Continence Management training course equips caregivers with the knowledge to support patients in managing incontinence, promote independence and enhance their well-being.

This course enables healthcare professionals to develop their knowledge and skills in recognising death and the process of confirming death.

This CPAP and BiPAP Awareness training course is designed for health care staff who care for people using non-invasive positive pressure ventilation to assist with breathing difficulties or disorders.

This comprehensive course covers all aspects of insulin and blood glucose monitoring, ideal for those who are directly and indirectly responsible for the welfare and wellbeing of people with diabetes.

This training course is designed to equip care staff with the knowledge and skills necessary to safely manage, administer, and record controlled medications.

This Dysphagia Awareness training course introduces the condition, and promotes understanding of the implications and dangers when someone has difficulties with eating and swallowing.

This course is for those working with, or responsible for the well-being of, individuals with epilepsy. The course aims to help participants understand epilepsy, recognise seizures, provide appropriate care, and support those living with epilepsy.

This course is designed to increase awareness of the various methods of enteral feeding and to provide the delegate with the practical knowledge to care for someone living with an abdominal feeding tube.

This training course is designed for staff responsible for caring for individuals with epilepsy, particularly in handling their medication. The course is suitable for nurses and care staff.

The aim of this Huntington's awareness training course is to enable delegates to have a greater understanding of what Huntington's Disease is, and how to safely and effectively provide care for patients that suffer with it.

This course is aimed at businesses who need their members of staff trained in first aid. It covers a wide range of emergency situations and provides comprehensive training.

This course equips staff with essential skills to prevent the spread of illness, use PPE correctly, and maintain safe, compliant environments in care, education, and healthcare settings.

This Laryngectomy Care training course is designed to educate and train healthcare professionals to perform laryngectomy care safely and competently.

This training course aims to help reduce the risk of injury to both staff members and the services user when performing people moving & handling techniques in the workplace.

This Nebuliser Training course aims to equip delegates with the theoretical and practical skills to safely care for those who use nebulisers.

Nasogastric (NG) Feed Awareness educates and prepares caregivers to properly care for patients requiring tube feeding. An NG tube is inserted through the nose and down to the stomach to deliver liquid nutrition when oral eating is not possible.

Multiple Sclerosis (MS) Awareness Training is designed to teach staff about MS, a condition that affects the brain and spinal cord. The training helps participants understand MS, its symptoms, how it is diagnosed, treatment options, and how to support individuals living with MS.

This Parkinson's Disease Awareness course will teach carers about the cause, effects, and treatment of Parkinson's Disease. Attendees will learn how Parkinson's affects movement, mood, and sleep, and how they can help people with the condition live more comfortable and independent lives.

This Palliative Care Training course is aimed at carers, healthcare assistants, nurses, and other professionals, who are working with service users who are close to the end of their lives. They will gain the skills to provide compassionate care, manage symptoms, and offer emotional support to both patients and their families.

Designed for healthcare professionals and caregivers, this comprehensive programme covers crucial topics such as recognising emergencies, CPR techniques for infants and children, and managing choking incidents.

This training aims to reduce pressure ulcers in a care environment by teaching learners how and why pressure ulcers form, and what their role and responsibility is in preventing them. The training also covers practical strategies for identifying at-risk patients and taking steps to prevent pressure sores.

PEG Feeding training is required for all staff who are responsible for supporting an individual who require enteral feeding. This course covers both theoretical and practical elements with assessments.

This course covers a wide range of topics relating to PSTS/conflict management within the healthcare industry, such as complaint handling, effects of violence and post incident review.

This safeguarding children training course will raise awareness of the abuse of children and the reporting and monitoring of it. It is designed for anyone who works with children, including teachers, carers, and healthcare professionals.

This RESTORE2 Mini training course is designed to equip care professionals in the UK with essential tools to identify and respond to early signs of deterioration in those they support.

This safeguarding children training course will raise awareness of the abuse of children and the reporting and monitoring of it. It is designed for anyone who works with children, including teachers, carers, and healthcare professionals.

This Training aims to provide the candidates with the knowledge and ability to recognise and appropriately respond to adult abuse when it occurs, or when it's suspected within the society and the care sector. This course is for healthcare workers, social workers, caregivers, and anyone involved in supporting adults in various settings.

This Training aims to provide the candidates with the knowledge and ability to recognise and appropriately respond to adult abuse when it occurs, or when it's suspected within the society and the care sector. This course is for healthcare workers, social workers, caregivers, and anyone involved in supporting adults in various settings.

This spinal injury training course will teach delegates how to safely look after a patient who has suffered a spinal injury.

This suction training is aimed at anyone working in a care or nursing environment where suction is required. Attendees will learn the theoretical and practical skills required to safely carry out oral suctioning on a patient.

This stoma care training course aims to teach staff the theoretical and practical knowledge so they feel comfortable and competent working around a stoma.

This Suction and Nebuliser training course is designed to educate and train healthcare professionals to perform all facets of care with this equipment safely and competently.

This course helps healthcare professionals learn important skills for looking after patients with tracheostomies. Participants will learn both theory and practical skills, gaining hands-on experience in tracheostomy care.

This Syringe Driver Awareness training course covers a range of issues associated with this form of medication delivery, in order to provide a highly practical resource for nurses and health professionals.

This Venepuncture (Phlebotomy) training course is designed for all healthcare Staff, including registered nurses, carers, and support workers, who are responsible for blood collection.

The course is designed for healthcare professionals who want to enhance their skills in assessing and managing wounds effectively. This course provides essential knowledge about various types of wounds, their healing processes, and best practices for care.

The training course aims to teach healthcare workers how to safely take blood and insert cannulas while keeping patients comfortable. Participants will understand how veins work, choose the right ones, and follow safety rules to prevent infections.